O influenciador digital Vittor Fernando falou pela primeira vez após ter sido vítima de uma tentativa de assalto no Rio de Janeiro. Em suas redes sociais, ele relatou que foi atingido por um disparo no peito, cuja bala ficou alojada em seu coração. O caso ocorreu na madrugada de sexta-feira, 24 de outubro.
++ Acorde mais rico: o método com IA que trabalha enquanto você dorme
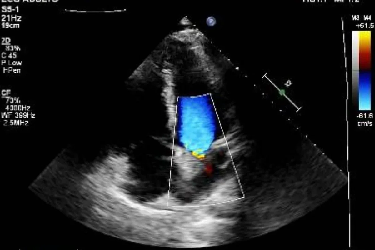
Vittor descreveu o episódio como os dias mais apavorantes de sua vida e disse ter sentido a morte muito próxima. Ele publicou fotos no hospital, imagens do carro atingido e exames que mostram o projétil alojado. Além do ferimento no peito, ele também foi baleado na perna.
++ Virginia é flagrada mandando selfie para Vini Jr.
No momento do ataque, Vittor estava acompanhado do namorado, o ator Gabriel Fuentes. O veículo em que estavam foi atingido por mais de 13 tiros, resultando em perda total. A Polícia Civil investiga o caso como possível tentativa de homicídio.
Ainda em recuperação, o influenciador tranquilizou seus seguidores ao afirmar que deixará a UTI uma semana após o ocorrido. Em seu relato, ele também expressou a dor de ver Gabriel ferido, com um tiro no braço, e questionou o motivo de tamanha violência.
Em sua publicação, Vittor se mostrou abalado com a situação, mas agradeceu por estar vivo. Ele destacou que ambos não ofereceram resistência e apenas haviam parado o carro quando foram atacados.
A postagem teve grande repercussão nas redes sociais, com mensagens de apoio de fãs e colegas. Vittor e Gabriel são conhecidos por sua atuação nas redes e já vinham ganhando destaque como influenciadores digitais.
O caso segue sob investigação, e novas informações devem ser divulgadas conforme o andamento das apurações.



